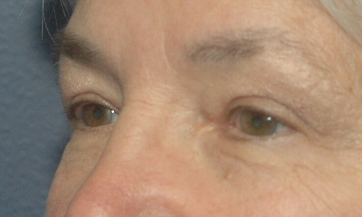
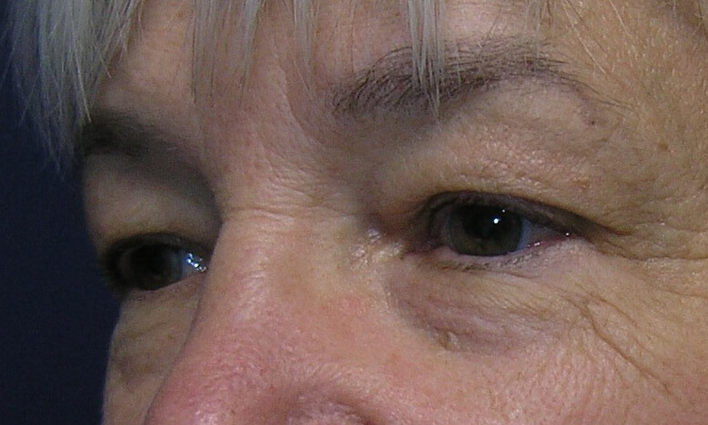
The surgeons at Sound Plastic Surgery can improve your outlook on life with an upper
blepharoplasty surgery. Our board certified plastic surgeons can perform an upper eyelid
lift (blepharoplasty) under local anesthesia while you are awake.
You’ll return home in about an about hour, feeling refreshed, without the hangover
from general anesthesia. Our upper eyelid lift technique can improve droopy eyelid
skin, bulging upper eyelids and can create a more youthful eyelid contour.
Many of our patients comment on how they’ve never been able to see so much of their
upper eyelids! More room to apply eyeshadow…A more rested and youthful appearance…
The upper eyelid scar is well concealed within the natural fold of the upper eyelid.
Call 206-729-2248 to schedule your Eyelid Surgery Consult today !


