Schedule
Call Now
  • Procedures
    • Cosmetic Breast Surgery
      • Breast Augmentation
      • Motiva Implants
      • Breast Lift
      • Breast Reduction
      • Breast Implant Removal
      • Breast Lift With Implants
      • Breast Revision
    • Body Contouring
      • Mommy Makeover
      • Tummy Tuck
      • Liposuction
      • Post Weight Loss
      • Lower Body Lift
      • Brachioplasty
      • Thigh Lift Surgery
    • Facial Plastic Surgery
      • Facelift Surgery
      • Browlift Surgery
      • Eyelid Lift Surgery
      • Facial Implant Surgery
      • Hair Transplant Surgery
      • Fat Grafting Injections
      • Earlobe Repair Surgery
      • Rhinoplasty Surgery
      • Neck Lift Surgery
      • Neck Liposuction
    • Non Surgical
      • Medical Skin Care
      • Botox
      • Fillers
      • Kybella
    • Mommy Makeover
  • Galleries
    • Cosmetic Breast Surgery
      • Breast Augmentation
      • Breast Augmentation & Lift
      • Breast Lift
      • Breast Reduction
      • Fat Grafting Breast Augmentation
      • Breast Implant Removal
      • Breast Implant Revision
    • Body Contouring
      • Mommy Makeover
      • Tummy Tuck
      • Liposuction
      • Post Weight Loss Combos
      • Lower Body Lift
      • Arm Lift
      • Thigh Lift Surgery
    • Facial Plastic Surgery
      • Face & Neck Lift Surgery
      • Brow Lift Surgery
      • Eyelid Lift Surgery
      • Facial Implant Surgery
      • Hair Transplant Surgery
      • Fat Grafting Injections
      • Earlobe Repair Surgery
      • Rhinoplasty Surgery
    • Non Surgical
      • Botox
      • Fillers
      • Kybella
    • Mommy Makeover
  • The Practice
    • About The Surgeons
    • Meet Our Team
    • Dr. Joshua Cooper
    • Dr. Scott Sattler
    • Our Amazing Staff
    • Patient Testimonials
    • Our Surgery Center
  • Resources
    • Blog
    • Videos
    • Payment Options
    • SkinMedica® Products
    • Out Of Town Patients
  • Contact Us
Schedule Consultation

Claim this month’s savings and start your refresh sooner

View Promo Now

Rhinoplasty Surgery Gallery

Rhinoplasty Surgery in Seattle, WA

  • All Galleries
  • Cosmetic Breast Surgery
  • Body Contouring
  • Facial Plastic Surgery
  • Non Surgical
  • Mommy Makeover

Rhinoplasty Surgery

Earlobe Repair Surgery Photo Gallery, by Sound Plastic Surgery

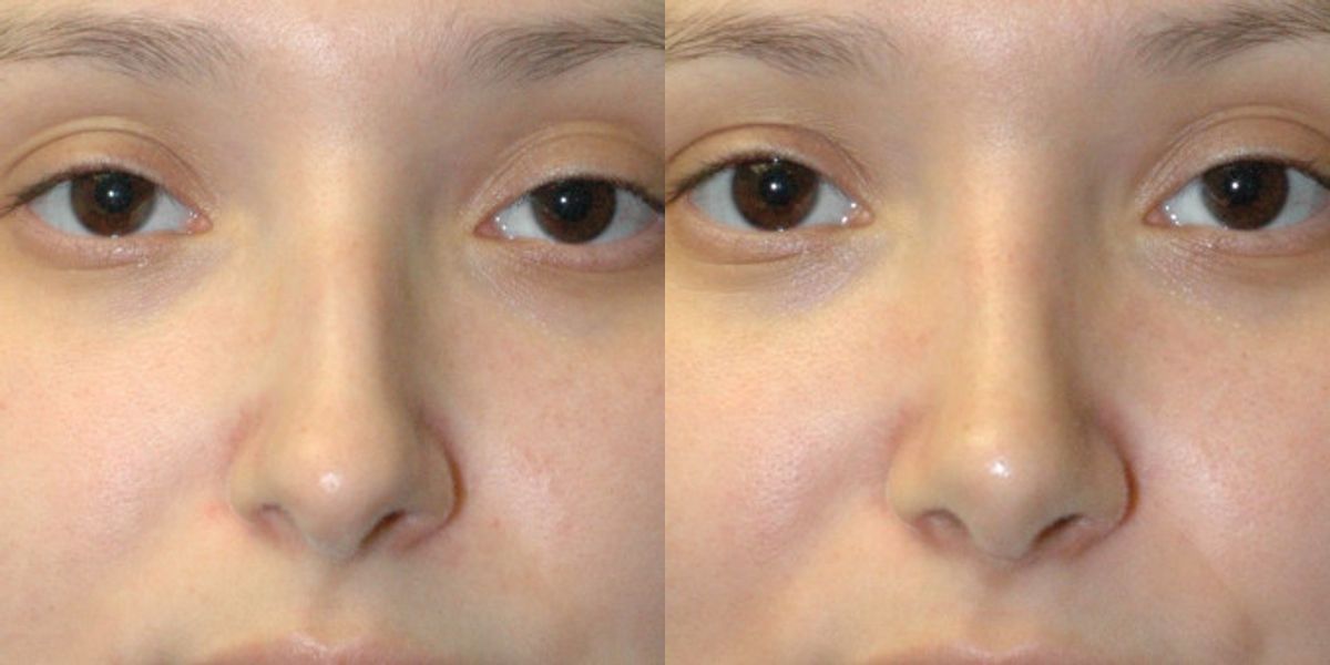
Rhinoplasty #1 - Before and After

Rhinoplasty #1

View Gallery
Rhinoplasty #2 - Before and After

Rhinoplasty #2

View Gallery
Rhinoplasty #3 - Before and After

Rhinoplasty #3

View Gallery
Rhinoplasty #4 - Before and After

Rhinoplasty #4

View Gallery
Rhinoplasty #5 - Before and After

Rhinoplasty #5

View Gallery
Rhinoplasty #6 - Before and After

Rhinoplasty #6

View Gallery

Ready to Transform?

Whether in Seattle, out of state, or an international visitor, we want to learn about your face and body goals and aspirations. Your treatment journey begins with a consultation.


4915 25th Ave NE #103a Seattle, WA 98105

The Surgeons
Procedures
Galleries
Testimonials

Visit Us

4915 25th Ave NE #103a
Seattle, WA 98105

Hours of Operation

Mon-Fri: 9:00 AM – 5:00 PM
Sat-Sun: Closed

Contact

(206) 729-2248

  • Follow
  • Follow
  • Follow
Copyright © 2026 ·‎‎‎‎‎‎‎‎ Sound Plastic Surgery
All Rights Reserved. ·‎‎‎‎‎‎‎‎ Privacy Policy ·‎‎‎‎‎‎‎‎ Sitemap
Powered by Intrepy Healthcare Marketing